Basmati Clinics

(3) من اهم مزايا التبييض الداخلي للسن

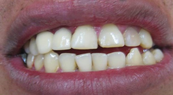
التبييض الداخلي للسن

إذا كنت تعاني من التصبغات بعد عملية سحب العصب، تعرف معنا في هذا المقال على كيفية تبييض السن الداخلي ومزاياه.

تغير لون السن بعد سحب العصب

  • عند إصابة الأسنان بالتسوس أو الكسر فإن ذلك يؤدي إلى تكاثر البكتيريا في النسيج السني، بحيث تخترق هذه البكتيريا طبقات السن لتصل إلى لب السن الذي يحتوي على الأوعية الدموية والأعصاب، وعند وصول البكتيريا إلى طبقات السن الداخلية فيؤدي ذلك إلى موت الأعصاب والأوعية الدموية داخل السن وتلفها.
  • يقرر الطبيب إجراء عملية سحب العصب في حال التهاب الأعصاب داخل السن، الأمر الذي يؤدي في بعض الأحيان إلى تغير لون السن بعد سحب العصب.
  • الالتهاب الذي تسببه البكتيريا داخل عصب السن يؤدي إلى الإحساس بالألم، مما يؤدي الالتهاب إلى اختراق بقايا السن الميتة طبقة المينا الشفافة ليظهر تغير اللون في الأسنان حتى بعد عملية سحب العصب، ويمكن في بعض الحالات تجنب تغير اللون في حال تم إزالة جميع الأنسجة الميتة من داخل السن أثناء سحب العصب.

كيف يتم تبييض السن داخليا؟

يعد تبييض الأسنان داخليًا أكثر تعقيد  مقارنة بالتبييض الخارجي، حيث يستهدف التبييض الداخلي سنًا واحدة أو بعض الأسنان المحددة التي تعرضت للضرر، ويتم من خلال اتباع الخطوات التالية:

  • يقوم  الطبيب بفحص السن داخليًا ويقيم علاج الجذور ولب الأسنان ويحدد إذا كان السن يحتاج إلى أي علاج إضافي.
  • بعد تفقد حالة السن يضيف الطبيب المادة المبيضة باستخدام إبرة مخصصة، حيث تعمل على التبييض الداخلي للسن.
  • يضع الطبيب حشوة مؤقتة للسن ويطلب منك زيارته في الوقت المحدد لتقييم درجة التبييض ووضع الحشو الدائم.

مزايا التبييض الداخلي للسن

من اهم مزايا التبييض الداخلي ما يلي:

  • يعد إجراء بسيط وغير مكلف مقارنة ببعض العلاجات التجميلية الأخرى.
  • لا يتطلب الإجراء التخدير.
  • الحفاظ على قدر أكبر من البنية الطبيعية للسن.

عيوب التبييض الداخلي للسن

يحمل التبييض الداخلي للسن بعض العيوب، ومنها:

  • قد تحتاج في بعض الأحيان الخضوع إلى جلسات علاج متعددة للوصول إلى المستوى المطلوب من البياض.
  • عدم تطابق التبييض بشكل كلي مع لون الأسنان.
  • الحاجة إلى إجراء جلسات المتابعة سنويًا للحفاظ على النتيجة.

ما هي طرق علاج تغير لون السن بعد سحب العصب؟

يوجد العديد من الطرق التي يمكن استخدامها من أجل علاج تغير لون السن بعد سحب العصب:

1. نحت السن:

  • ينصح بعض الأطباء بنحت السن لعلاج تغير لون السن بعد سحب العصب، خاصة أن تبييض الأسنان باستخدام المستحضرات التجميلية لا يعد بالأمر المجدي في بعض الأحيان.
  • حيث يقوم الطبيب بنحت طبقة المينا من الجهة الأمامية ومن المنطقة التي يظهر فيها تغيير اللون فقط، عند القيام بالتخلص من الطبقة الملونة فإن تطبيق العلاج بمستحضرات التجميل المختلفة يعد فعال بشكل أكبر.
  • لا تعد طريقة نحت السن مؤلمة، كما أنها لا تعد باهظة الثمن عند مقارنتها بطرق العلاج الأخرى.

2. التبييض الداخلي

 

  • تتضمن عملية التبييض الداخلي للسن وضع مادة مبيضة داخل طبقات السن الداخلية
  • يكون هناك بعض الفراغات داخل السن ناتجة عن إزالة العصب والأوعية الدموية المغذية له، فيساعد ذلك على تغلغل المادة المبيضة والحفاظ على السن من تغير اللون.

3. القشور الخزفية

  • يمكن علاج المشكلة والتخلص منها من خلال استخدام القشور الخزفية من أجل علاج تغيير لون السن، حيث تصنع القشور الخزفية عادةً من البورسلان أو المعادن المختلفة، وتساعد في حماية السن بشكل كبير من تغيير اللون والعوامل البيئية المختلفة.
  • يمكن اختيار العلاج بالقشور الخزفية خصوصًا في حال الرغبة بحل دائم لتصبغ وتغيير لون الأسنان.

 

هل التبييض الداخلي للسن يزيل طبقه المينا؟

نعم، يمكن أن تؤدي عملية التبييض الداخلي للسن إلى إزالة طبقة المينا إلى حد ما.

كيف يمكن الحفاظ على السن من تغير اللون بعد سحب العصب؟

سابقاً كان الحل المثالي لعلاج تلف الأسنان أو تلف الأعصاب داخل الأسنان هو خلع السن، ولكن في الوقت الحالي يعد الأمر مختلف فيمكن سحب العصب داخل السن من أجل تفادي الضرر المحتمل للأسنان.

  1. يقوم الطبيب في بعض الأحيان بتركيب التاج للسن لتجنب تغير لون السن بعد سحب العصب والحفاظ عليه.
  2. تغير لون السن يعني بأن السن لا يصله الغذاء الكافي بسبب تلف الأعصاب والأوعية الدموية داخل السن، فقد يؤدي ذلك احياناً إلى موت السن بالكامل وتعرضه للكسر بصورة أكبر، لذلك فإن تركيب التاج السني يعد امر ضروري لحماية السن والحفاظ عليه.

 

كم الكشفية في عيادات بسمتي؟

150 ريال سعودي

د. حمزة عنجريني